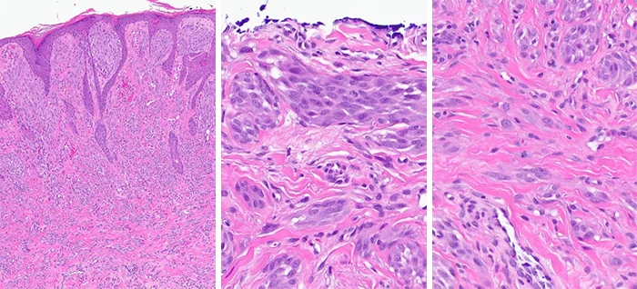
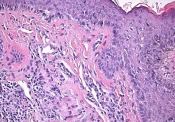
MyPath Melanoma case studies
The following case studies show examples of ambiguous melanocytic lesions and demostrate how gene expression profile testing can provide guidance for difficult-to-diagnose lesions and improve patient management.
Explore on-demand case study webinars
Alexander Witkowski, MD, PhD
Dermatologist
Director, OHSU Skin Cancer Imaging Center
Assistant Professor of Dermatology, School of Medicine
Portland, Oregon
Cary Chisholm, MD
Dermatopathologist,
Laboratory Director, and Market Medical Director at Epiphany Dermatology
Clay Cockerell, MD, MBA, JD
Founder and President of Cockerell
Dermatopathology and Co-Founder and
Educational Director of DermPath on Demand
Hadas Skupsky, MD, FAAD
Laboratory Director at LSCC Dermatopathology
and Dermatopathologist at Compass
Dermatopathology
Explore case studies

Aberrant PRAME expession in acral nevus
A 70-year-old male presented with an atypical melanocytic proliferation on his right instep. He had no personal or family history of melanoma. The clinical diagnosis was acral nevus - rule out atypia.

Abnormally pigmented lesion with uncertain malignant potential
A woman in her 30's presents to her dermatologist for evaluation of a pigmented lesion on her inner thigh.

Asymmetrical Pigmented Lesion with High Clinical Suspicion for Melanoma
A 27-year-old female patient was seen by a primary care physician who recommended follow-up with a dermatologist for assessment of a concerning melanocytic lesion.

Atypical melanocytic proliferation on sensitive preauricular cheek
A 65-year-old male presented with an atypical melanocytic proliferation near the left ear. Four sites of basal cell carcinoma and seborrheic keratosis were taken at the same visit.

Atypical Spitz nevus versus Spitz melanoma
A 24-year-old male presents with a lesion on his left superior helix

Concerning melanocytic lesion in patient with personal history of melanoma
A 49-year-old male was seen by a dermatologist for a concerning nevus on the right superior lateral neck. The patient's age, extensive solar damage, and history of metastatic melanoma was a cause for concern.

High-risk melanoma diagnosed and risk-stratified with MyPath Melanoma and DecisionDx-Melanoma
A 74-year old male wih a dome-shaped red papule on right central frontal scalp

Inconclusive PRAME staining on high-stakes lesion on face
A 34-year-old male with a positive family history of melanoma presents with a lesion on the right lateral malar cheek. It was questionable if the lesion had been previously biopsied

Irregular papule with atypical histopathological findings and borderline/uncertain diagnosis
A 43-year-old female patient presents to a dermatologist with a suspicious irregular multi-colored papule on the right dorsal foot.

Multi-colored lesion with uncertain malignant potential
A 80-year-old male presents with a multi-colored lesion on his back. He has a previous history of extensive sun damage and non-melanoma skin cancers.


_2~-~media--a2ac3558--query%402x.17bdd7ed.webp)





