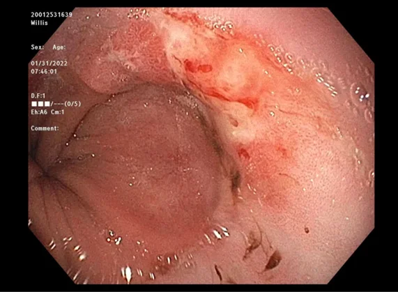
A 77-year-old white male visited Dr. Lipham for a surveillance endoscopy. In the past, this patient had chronic GERD that had become controlled via PPIs and an anti-reflux procedure. But while the patient’s clinical risk factors suggested low risk, TissueCypher results returned high risk.
“This guy probably would have been lost to follow-up, but because of this [TissueCypher] result we talked to him about ablation of his Barrett’s ,” says Lipham.
See the case details below.
Case details
- No relevant family history
- BMI 26
- Chronic GERD for 25+ years
- PPI use - 20 years, Nexium
- No smoking history
- History of non-dysplastic Barrett's since 2015
- Underwent LINX anti-reflux procedure 2/2020 to control reflux



.jpg)

